首頁 » 骨科 » 股骨頭骨骺滑脫症

股骨頭骨骺滑脫症

by 蘇星彥 獸醫師

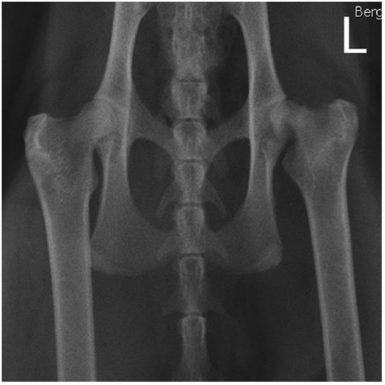
封面圖片:Borak D, Wunderlin N, Brückner M, Schwarz G, Klang A. Slipped capital femoral epiphysis in 17 Maine Coon cats. J Feline Med Surg. 2017 Jan;19(1):13-20.

什麼是股骨頭骨骺滑脫症?

股骨頭骨骺滑脫症(slipped capital femoral epiphysis, SCFE),是不是看到這個疾病的名字就覺得每個字都是中文但怎麼還是看不懂呢?別灰心,讓我們一一來為你解釋其中的專有名詞:

  • 股骨』是解剖學上後肢大腿的骨頭。(下圖就是股骨的示意圖)
  • 股骨頭』是股骨近端的球形構造,也是和骨盆骨形成髖關節的位置。
  • 骨骺』是指骨頭兩端,和其他骨頭形成關節的地方。一根長骨最中間的位置叫做『骨幹』,位於骨幹與骨骺之間的部分則叫做『幹骺』。
  • 生長板』這個詞雖然沒有直接出現在這個疾病的名字中,但是在疾病中扮演關鍵角色。『生長板』位於骨骺與幹骺之間,是指在骨骼發育時,進行細胞分裂而讓骨頭延長的地方,主要是由軟骨構成,在X光下不同於硬骨呈現白色的樣子,以軟骨為主的生長板看起來是一條黑黑的線青春期時,受到性賀爾蒙的刺激,會促進此處細胞的凋亡,因此使得細胞不再分裂,骨頭停止延長,此處的軟骨也漸漸被硬骨取代,這個過程稱為『生長板關閉』。
location of epiphysis, metaphysis, diaphysis, and femoral head at femur
股骨示意圖

所以這個疾病,其實就是指一種非創傷性股骨頭從其生長板處慢慢與其基部的骨頭滑脫、分離的疾病

好發族群

這個疾病貓狗都可能發生,但在狗非常罕見,小動物中主要是在貓比較容易看到。目前仍缺乏這個疾病在貓咪發生率的大型調查,但有單一研究提出這個疾病的在貓發生率約為0.67%。其中又以年輕、已結紮、過胖、公貓較為好發。品種上,暹羅貓及緬因貓都是有被提出過可能是好發的品種。這個疾病常常是雙側股骨頭生長板都會有問題,大約有24-38%貓咪在第一次發現有這個疾病時就可以從X光下看出雙側病灶,但有些可能一開始只有一隻腳有問題,一段時間後另一隻腳才出現類似的病變。

不過,為什麼貓咪的股骨頭會逐漸從生長板處滑脫,目前明確的原因仍然未知。有人提出假說推測:這個疾病的發生可能跟絕育後造成的雄性素低下,而導致生長板延遲關閉,並且過度肥胖的體型使得關節的負重增加,再加上反覆受力,這些多重的原因最終造成骨頭從相對比較脆弱、主要以軟骨為主的生長板處分離。

症狀與診斷

有這個問題的貓咪表現出來的症狀就是跛行、不願意跳高,並且在髖關節伸展及外展的時候會疼痛或獸醫師觸診時可觀察到摩擦音。有時候病患看起來只有一隻腳出現跛行與疼痛,但照X光後發現兩隻腳其實都有問題,可能只是嚴重程度的差異。

X光是最主要用來診斷這個疾病的影像工具。疾病的初期的X光影像呈現未關閉且變粗的生長板,並且可能伴隨很微小的股骨頭位移。隨著疾病的發展,股骨頭的錯位會越來越明顯,股骨頸的地方可能也會出現嚴重的骨吸收。此外,患有這個疾病的貓咪其他地方的生長板也常看到延遲關閉的狀況。

很重要的是,在診斷這個疾病時,可能要拍很多張不同姿勢的X光以提高診斷率。尤其是『蛙腿姿』的X光片,這個姿勢可以讓關節囊放鬆,比較不會因為緊繃的關節囊造成滑脫處復位而使得錯位處變得不明顯。

絕大多數的病患靠病史、骨科學檢查、配合X光影像就可以診斷,如果想與創傷或是其他原因區分,病患又有考慮接受手術治療,可以考慮手術的同時一併將移除下來的股骨頭送病理的檢驗。組織學下,這些病患生長板的軟骨細胞會變得肥大且排列很混亂,生長板也會變粗,軟骨細胞周圍有大量基質。

治療與預後

如果在疾病早期就發現,當股骨頸還沒有被吸收得太嚴重的時候,或許有機會可以嘗試放入植入物去固定滑脫的股骨頭。但是大多數的病患在發現時已經有嚴重的股骨頸吸收,此時股骨頸的結構太脆弱,放入植入物固定的難度升高、手術的成功率也跟著下降,這類的病患會建議進行股骨頭頸切除術或髖關節的關節置換。

本來滑脫的股骨頭在每一次關節活動的時候,都會刺激關節周圍的神經而產生疼痛,股骨頭頸切除之後,這個疼痛的來源被移除,貓咪之後靠假關節行走。雖然術後可能會有關節活動角度變小、肢體長短不一、輕微跛行的狀況發生,但大多數的貓咪在術後1-2個月可以恢復到不錯的步態。髖關節關節置換是另一種可以保留其正常的解剖構造的手術方法,但對手術技術及設備的要求較高。

參考資料

  1. Towle HA, Breur J. Miscellaneous orthopedic conditions. In: Johnston SA, Tobias KM, ed. Veterinary surgery: small animal expert consult. Saunders, 1112-1126, 2012.
  2. Borak D, Wunderlin N, Brückner M, Schwarz G, Klang A. Slipped capital femoral epiphysis in 17 Maine Coon cats. J Feline Med Surg. 2017 Jan;19(1):13-20. doi: 10.1177/1098612X15598551. Epub 2016 Jul 10. PMID: 26265738.
  3. Yap FW, Dunn AL, Garcia-Fernandez PM, Brown G, Allan RM, Calvo I. Femoral head and neck excision in cats: medium- to long-term functional outcome in 18 cats. J Feline Med Surg. 2015 Aug;17(8):704-10. doi: 10.1177/1098612X14556848. Epub 2014 Nov 6. PMID: 25376795.
  4. Lafuente P. Young, male neutered, obese, lame? Non-traumatic fractures of the femoral head and neck. J Feline Med Surg. 2011 Jul;13(7):498-507. doi: 10.1016/j.jfms.2011.05.007. PMID: 21704899.

Related Posts